Estetika
Lice
Najsuvremeniji tretmani lica pomažu vam da izgledate mlađe, elegantnije i sretnije.
Tijelo
Osjećajte se ugodno u svome tijelu i korigirajte izvore nelagode.
Grudi
Ostvarite želju za boljim izgledom i vratite samopouzdanje estetskom korekcijom.
Kosa i vlasište
Minimalno invazivna rješenja za izgubljenu kosu i prirodni izgled.
Problematike
Pronađite rješenja za neke od najčešćih estetskih problema.
Tretmani
Kirurgija
Tretmani
Kirurgija
Povećanje grudi
Podizanje grudi
Smanjenje grudi
Smanjenje muških grudi
VECTRA XT 3D konzultacije za grudi
Mezoterapije kose i vlasišta
Terapija prorijeđene kose vlastitom krvlju
Trichotest – genetski test za alopeciju
Opadanje kose kod žena – uzroci i kako ga spriječiti
Opadanje kose kod muškaraca – uzroci ćelavosti i kako je spriječiti
Alopecija – ispadanje kose
LICE
TIJELO
Implantološki centar
Različite metode rješavanja problematike nedostatka jednog ili više zubi.
Protetika
Najčešće rješenje u slučaju funkcionalnog ili estetskog oštećenja zuba.
Estetska Stomatologija
Skladno oblikovanje zubi te korekcija boje zubi prema želji.
Opća Stomatologija
Suvremena i pravovremena dijagnostika te liječenje i higijena zuba ključ su za zdravlje vaših zubi.
Problematike
Pronađite rješenja za neke od najčešćih estetskih problema.
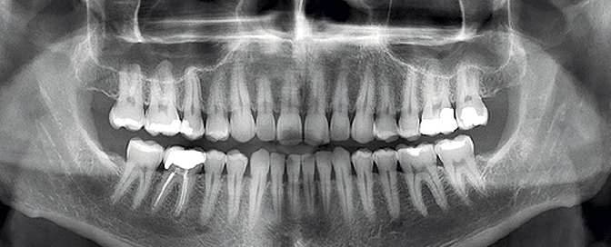
Panoramska radiografija, ortopantomografija, ortopantomogram ili najkraće i najčešće „ortopan“ je dijagnostički osnovna i najvažnija snimka u stomatologiji koja se najčešće izrađuje kao orijentacijska snimka pri prvom pregledu.
Snimka omogućuje dvodimenzionalni prikaz veliko anatomske regije, te ima vrlo široku uporabnu vrijednost u svim područjima stomatologije. Odlična je za postavljanje pravilne dijagnoze, planiranja terapijskih stomatoloških postupaka te praćenja razvoja bolesti i rezultata stomatološkog liječenja.
Tehnika snimanja ortopanom je vrlo jednostavna i brza. Odrađuje se u posebnoj prostoriji, a sve što je potrebno je stajati uz aparat u mirnom položaju kako vas liječnik postavi 15-ak sekundi. Već kroz nekoliko trenutaka, snimka je vidljiva na zaslonu monitora u ordinaciji.
Prednosti ortopana
Današnje digitalne snimke pojednostavljuju rukovanje, olakšana je njihova pohrana, moguće je slanje putem interneta. Također, u programima je moguće analizirati gustoću kostiju, povećavati pojedine detalje, mijenjati kontrast te mjeriti i bojati željene strukture.
No, najvažnija prednost digitalne tehnologije snimanja je drastično smanjenje doze zračenja pacijenta te su moderne digitalne rendgenske snimke potpuno sigurne za pacijenta.
Što sve možemo vidjeti na ortopanu?
Ortopan zuba omogućuje uvid u više važnih struktura koje su nam bitne u stomatologiji. Istovremeno se ortopanom vidi gornja i donja čeljust, sve koštane strukture, svi zubi, maksilarni sinusi i temporomandibularni zglob koji je važan za pravilno funkcioniranje mišića lica.
Na snimci možemo vrlo dobro uočiti traumatske promjene, opsežne karijesne lezije, parodontne i periapikalne patološke procese, vidjeti umnjake te osteartritične promjene čeljusnog zgloba. Također nam omogućuje praćenje razvoja zuba te procjenu mješovite denticije kod djece.
Stomatološki standardi
Prema suvremenim stomatološkim standardima, obavezna je snimka prije liječenja radi pravilnog postavljanja dijagnoze te po završetku liječenja kako bi bili sigurni da je sve napravljeno kako treba.
Ovisno o inicijalnom patološkom procesu, sljedeće snimke rade se u razdoblju praćenja pacijenata i to obično 3, 6 i 12 mjeseci po završetku liječenja.
Primjena ortopana u različitim granama stomatologije
U restaurativnoj stomatologiji i endodonciji rendgenske snimke nam služe za otkrivanje i praćenje karijesa, trauma i patoloških promjena u pulpi i oko korijena zuba. Tu se uz ortopan zuba često dodatno rade i male intraoralne snimke, a kod kompliciranijih slučajeva i trodimenzionalne CBCT snimke kojima detaljno možemo proučiti svaki pojedini korijen u svim presjecima.
U ortodonciji je ortopan također neizostavan pri prvom pregledu. On služi da bismo utvrdili zubni status, vidjeli sve iznikle i neiznikle zube kod djece, dijagnosticirali eventualne anomalije u rastu i razvoju zuba i čeljusti koje se ortodoncijom mogu na vrijeme ispraviti. Osim ortopana, u ortodonciji se izrađuje i dodatna snimka koja se zove lateralna snimka lubanje.
Ortopan u paradontologiji omogućuje dijagnosticiranje razine kosti oko zuba, postojanje parodontitisa, parodontnih džepova te praćenje brzine razvoja i napretka bolesti kao i uspješnost našeg liječenja.
Također, prije svakog vađenja zuba ili operacijskog zahvata obavezna je izrada rendgenske snimke. Dakle, u oralnoj kirurgiji ortopan je, uz CBCT, važan za planiranje implantološkog liječenja, procjenu koštanog dijela čeljusti, njene gustoće i kvalitete, te on omogućuje odrediti položaj važnih struktura kao što su živci i sinusi. Osim toga, ortopanom dijagnosticiramo i tumore i ciste.
I za kraj, planiranje protetske terapije koja pacijentima omogućuje pravilno i dugotrajno funkcioniranje, zdravlje usne šupljine i čeljusnih zglobova, uz neizostavno i zadovoljstvo izgledom nije moguće bez ortopana i pravilnog dijagnosticiranja svih prethodno navedenih mogućih problema.
Zdravlje zubiju
Tek kada su svi zubi izliječeni, potporne strukture zuba zdrave i bez upala, kada su implantatima nadomješteni korijeni zuba koji nedostaju, tada se bez straha pristupa protetskoj rehabilitaciji.
Primjena radioloških metoda u suvremenoj stomatologiji je neizbježna, s njima nam je omogućeno lakše, brže i pouzdanije postavljanje dijagnoze te sigurnije planiranje stomatološke terapije što je jednako važno i stomatolozima i pacijentima. Nedostatci, poput minimalne opasnosti od zračenja u današnje vrijeme i s današnjim aparatima su zanemarivi u usporedbi s koristi koje pružaju.
lako su mogućnosti i sigurnost primjene rendgenskih zraka u stomatologiji znatno napredovale od trenutka njihovog otkrića, pogotovo danas kada se sve više primjenjuju digitalne tehnologije, kod pacijenata još uvijek postoje brojna otvorena pitanja i nedoumice.
Ortopan u Poliklinici Bagatin
Digitalni rendgen, odnosno, rendgenske snimke zuba i čeljusti početak su i osnova svake stomatološke terapije.
Poliklinika Bagatin posjeduje vrhunski, najmoderniji uređaj Planmeca VISO ™ za snimke digitalnog rendgena.Cijenu ortopana, kao i ostalih rendgenskih snimaka zuba možete provjeriti na linku.
Planmeca VISO ™ vodeći je CBCT uređaj u Hrvatskoj i regiji. On pacijentima Poliklinike Bagatin pruža brže, ugodnije te preciznije iskustvo uz minimalno dozu zračenja.
Također, jedinstveni uređaj pruža 3D sliku glave, potrebnu dijagnostiku, preciznost, brzinu, prilagodbu najmlađim pacijentima te manje zrači od svih ostalih zubnih rendgena na tržištu.
Najmodernija tehnologija i iskusan tim stomatoloških stručnjaka svojim znanjem i profesionalnim pristupom odgovaraju na sve zahtjeve za potpuno iskustvo liječenja zuba i dobivanja željenog osmijeha.
Posjetite dental tim Poliklinike Bagatin i uvjerite se u stručnost i profesionalnost.
Za sva pitanja i nedoumice obratite se stručnjacima stomatolozima Poliklinike Bagatin na broj 01 4610 225 ili na mail info@bagatin.hr i rezervirajte svoj termin!